
Broken Tooth in Geneva: Emergency First Aid Guide
A broken tooth can happen in an instant -- biting into hard food, a sports impact, a fall, or even just a weakened tooth giving way. This guide covers exactly what to do in the first minutes, how to classify the severity, when you need immediate care, and what treatment and costs to expect in Geneva.
Types of Tooth Fractures
Not all broken teeth are equal. The type and severity of the fracture determines how urgent treatment is, what the dentist can do, and whether the tooth can be saved. Here is a classification from least to most severe.

| Fracture Type | What Is Damaged | Symptoms | Urgency |
|---|---|---|---|
| Enamel chip (craze line) | Surface enamel only | No pain, rough edge, cosmetic concern | Low -- can wait 1-2 days |
| Enamel-dentin fracture | Enamel + dentin (no pulp exposure) | Sensitivity to cold/sweet, visible yellow dentin layer | Moderate -- see dentist same day or next day |
| Complicated fracture (pulp exposure) | Enamel + dentin + pulp (nerve) | Severe pain, visible pink/red spot, bleeding from tooth | HIGH -- emergency, see dentist immediately |
| Crown-root fracture | Fracture extends below gum line into root | Loose fragment, pain on biting, bleeding | HIGH -- emergency |
| Root fracture | Root split (may not be visible) | Tooth feels loose, pain on biting, gum bleeding | HIGH -- needs X-ray to diagnose |
| Tooth avulsion (knocked out) | Entire tooth displaced from socket | Empty socket, bleeding, tooth in hand | CRITICAL -- 30 minutes to re-implant |
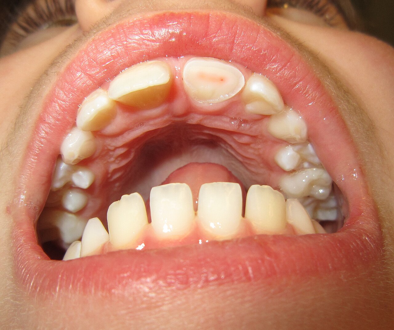
How to assess at home: look at the broken area. If you see only white (enamel), the urgency is low. If you see a yellow/brown layer underneath (dentin), see a dentist the same day or the next morning. If you see a pink or red spot, or blood coming from inside the tooth, the pulp (nerve) is exposed -- this is a dental emergency requiring immediate treatment to prevent infection and save the tooth.
If the tooth feels loose or wobbly, or if a large piece has broken off, assume it is urgent and call an emergency dentist immediately.
Immediate First Aid Steps
What you do in the first 5-10 minutes after breaking a tooth significantly affects the outcome. Follow these steps in order.
Step 1: Stay Calm and Assess
A broken tooth looks dramatic (especially if there is blood) but is rarely life-threatening. Take a breath, rinse your mouth gently with warm water, and look at the damage. Is the tooth chipped, cracked, or completely knocked out? Is there bleeding? Can you see pink/red tissue?
Step 2: Control Bleeding
If the gum is bleeding, fold a piece of clean gauze (or a clean cloth) and press it firmly against the bleeding area. Apply constant pressure for 10-15 minutes. Do not keep removing the gauze to check -- this disrupts clot formation. If you do not have gauze, a wet tea bag works well (the tannins promote clotting).
Step 3: Collect Tooth Fragments
Find and collect any pieces of tooth that have broken off. In some cases, the fragment can be bonded back onto the tooth by the dentist -- this is the fastest and most natural-looking repair. Handle fragments by the edges, not the broken surface. Store them in a small container of cold milk or saline. Do not store in water (it damages the cells).
Step 4: Protect Sharp Edges
A broken tooth often leaves sharp edges that cut your tongue, cheek, or lip. If you have dental wax or sugar-free chewing gum, press a small piece over the sharp edge to protect the soft tissue. If the pharmacy is open, you can buy temporary dental cement (e.g., Dentemp or Recakit) to cover the exposed area -- this also reduces sensitivity.
Step 5: Manage Pain
Take ibuprofen 400-600mg for pain and inflammation. Apply a cold pack to the outside of the cheek (15 minutes on, 15 minutes off). Avoid very hot or cold foods and drinks on the broken tooth. Do not chew on the affected side.
Step 6: Contact Emergency Dentist
Call or WhatsApp an emergency dentist immediately. Tell them what happened and describe the fracture. They will advise whether you need to come in immediately or can wait until the next available appointment.
What NOT to do:
- Do not use superglue -- it is toxic to oral tissue, traps bacteria, and makes professional repair harder
- Do not drink alcohol to numb the pain -- it increases bleeding and interacts with pain medication
- Do not eat on the broken side -- further fracture is likely
- Do not ignore it because the pain stopped -- the nerve may have died, leading to infection
When Is It Truly Urgent?
Not every broken tooth requires dropping everything and rushing to a clinic. Here is how to judge.
IMMEDIATE (within 30 minutes):
- Tooth completely knocked out (avulsion) -- re-implantation success drops rapidly after 30 minutes
- Tooth displaced (pushed into gum, pushed sideways, or hanging loosely)
- Severe uncontrolled bleeding that does not stop with pressure
- Suspected jaw fracture (inability to close mouth normally, asymmetry, severe pain on jaw movement)
SAME DAY (within hours):
- Visible pulp exposure (pink/red spot, blood from inside tooth) -- infection risk within hours
- Large fracture with severe pain
- Loose tooth fragment that could be swallowed or inhaled
- Sharp edge causing significant soft tissue damage
NEXT BUSINESS DAY (within 24-48 hours):
- Small chip with no pain and no exposed dentin
- Cracked tooth with mild sensitivity but no acute pain
- Broken filling or crown with no severe symptoms
The 30-Minute Rule for Knocked-Out Teeth
A completely knocked-out permanent tooth (avulsion) is the most time-critical dental emergency. The periodontal ligament cells on the root surface begin dying within minutes of the tooth leaving the socket. After 30 minutes in dry conditions, the success rate of re-implantation drops dramatically.
| Time Out of Mouth | Success Rate (if stored properly) | Success Rate (if dry) |
|---|---|---|
| Under 5 minutes | 85-97% | 85-97% |
| 5-20 minutes | 75-85% | 50-70% |
| 20-60 minutes | 40-70% | 10-30% |
| Over 60 minutes | 10-30% | Less than 5% |
The ideal sequence:
- Pick up the tooth by the crown (white part). Never touch the root.
- If dirty, rinse gently with clean water for 10 seconds maximum. Do not scrub.
- Try to put it back in the socket immediately. Hold it in place by biting gently on a clean cloth. This is the single best thing you can do for the tooth.
- If you cannot re-insert it (child, unconscious patient, risk of swallowing), place it in cold milk.
- Call the emergency dentist and say "knocked-out tooth" -- you will be prioritized.
Critical: NEVER re-implant a baby tooth. If a child's milk tooth is knocked out, do not attempt to put it back. Re-implanting a baby tooth can damage the developing permanent tooth underneath. Contact a dentist for assessment, but the baby tooth will not be replaced.
How to Transport a Knocked-Out or Broken Tooth
The storage medium matters enormously. The root cells need to be kept alive and hydrated in a solution that matches the body's chemistry.
| Storage Medium | Effectiveness | Notes |
|---|---|---|
| Back in the socket | Best possible | The ideal solution -- natural environment |
| Tooth rescue kit (SOS Zahnbox) | Excellent | Cell culture medium, preserves root cells for 24+ hours. Available at Swiss pharmacies, CHF 15-20 |
| Cold milk | Very good | Easily available, preserves cells for 1-2 hours. Use full-fat or semi-skimmed. |
| Saliva (in the mouth) | Good | Place between cheek and gum. Only for conscious adults (risk of swallowing). |
| Saline (NaCl 0.9%) | Good | Available at pharmacies. Better than water. |
| Water | Poor | Hypotonic -- causes root cells to swell and burst. Use only as absolute last resort. |
| Tissue / dry storage | Very poor | Root cells die within minutes. Never wrap a tooth in tissue. |
Swiss-specific tip: the SOS Zahnbox (tooth rescue box) is available at many Swiss pharmacies and is recommended by the Swiss Dental Association (SSO). It contains a special cell culture medium that keeps root cells alive for over 24 hours. If you play contact sports or have children, keeping one in your medicine cabinet is a worthwhile CHF 15-20 investment.
For broken tooth fragments (not knocked-out teeth), storage is less critical since you are bonding the fragment rather than re-implanting a living root. Milk or saline is still preferred, but the fragment will remain usable even if stored dry for several hours.
Treatment Options
The treatment depends on the type and severity of the fracture, how much tooth structure remains, and whether the nerve is damaged. Here is what to expect.

Dental Bonding (Small Chips)
For small chips affecting only the enamel, the dentist applies tooth-colored composite resin to rebuild the missing portion. The material is sculpted to match the natural tooth shape, then hardened with a UV light. This takes 30-45 minutes and is the simplest, most affordable repair. Bonding lasts 5-10 years with good care.
Fragment Re-attachment
If you bring the broken piece (stored in milk), the dentist may be able to bond it back onto the tooth using dental adhesive. This gives the most natural result since it uses your own tooth material. Success depends on how cleanly the tooth broke and how well the fragment was preserved.
Dental Crown (Cap)
For larger fractures where significant tooth structure is lost but the root is intact, a crown covers and protects the remaining tooth. The dentist prepares the tooth (shapes it into a peg), takes an impression, places a temporary crown on the same day, and the permanent crown (porcelain, zirconia, or ceramic) is fitted 1-2 weeks later. A crown is a durable, long-term solution lasting 10-20 years.
Root Canal + Crown
If the fracture has exposed or damaged the pulp (nerve), root canal treatment is needed before placing a crown. The dentist removes the damaged nerve, cleans and fills the root canals, then builds up the tooth with a post and crown. This is a 2-3 appointment process but saves the natural tooth.
Extraction + Replacement
If the tooth is fractured vertically through the root, or is shattered beyond repair, extraction is the only option. Replacement options include:
- Dental implant -- a titanium post is placed in the jawbone, topped with a crown. The gold standard for tooth replacement. CHF 3,000-5,000 total (implant + crown). Takes 3-6 months.
- Bridge -- the gap is filled by a false tooth anchored to the adjacent teeth. CHF 2,500-4,000. Faster than an implant but requires filing down healthy neighboring teeth.
- Removable partial denture -- a less invasive, lower-cost option. CHF 800-1,500. Not as comfortable or stable as an implant.
Splinting (Loosened Teeth)
If the tooth is loosened but not knocked out, the dentist bonds a thin wire or fiber to the inside surface of the affected tooth and its neighbors, holding it stable while the ligaments heal. Splints are typically left in place for 2-4 weeks. The tooth often recovers fully.
Costs for Broken Tooth Treatment in Geneva
| Treatment | Cost Range (CHF) | Timeframe |
|---|---|---|
| Emergency consultation + X-ray | CHF 150-200 | Same day |
| Dental bonding (small chip) | CHF 250-400 | Same day (30-45 min) |
| Fragment re-attachment | CHF 200-350 | Same day |
| Temporary crown | CHF 250-350 | Same day |
| Permanent crown (porcelain/zirconia) | CHF 1,000-1,500 | 1-2 weeks (2 appointments) |
| Root canal treatment | CHF 800-1,500 | 1-3 appointments |
| Emergency extraction | CHF 250-600 | Same day |
| Dental implant (total) | CHF 3,000-5,000 | 3-6 months |
| Splinting (loosened tooth) | CHF 200-400 | Same day, splint worn 2-4 weeks |
Insurance note: if the tooth was broken in an accident (sport, fall, car accident, assault), the treatment is covered by your accident insurance (UVG/LAA for employees, or your private accident policy). Document how the injury happened and report it to your insurer within 24 hours. If the tooth broke from biting food or general wear, it falls under dental insurance, not accident insurance -- and basic LAMal does not cover it.
For a comprehensive guide to dental costs and insurance, see: Dental Emergency Costs in Geneva: What to Expect.
Sports Prevention: Protecting Your Teeth
Sports-related dental trauma accounts for a significant proportion of tooth fractures and avulsions, particularly in contact sports. Prevention is far cheaper and less painful than treatment.

Custom Mouthguards
A custom-fitted mouthguard from your dentist is the gold standard for dental protection. It is made from an impression of your teeth, fits precisely, allows easy breathing and speaking, and absorbs impact forces far better than boil-and-bite guards from sports shops. Cost: CHF 300-600 in Geneva. This is a worthwhile investment when a single broken tooth costs CHF 1,000+ to repair and an implant costs CHF 3,000-5,000.
Sports That Require Protection
The Swiss Dental Association (SSO) recommends mouthguards for all contact and collision sports:
- High risk: ice hockey, rugby, boxing, martial arts, American football
- Moderate risk: basketball, handball, football (soccer), skiing, snowboarding, mountain biking
- Often overlooked: skateboarding, inline skating, rock climbing, field hockey, lacrosse
In Geneva, popular sports like skiing at nearby resorts (Chamonix, Verbier, Crans-Montana), cycling around the lake, and ice hockey are common causes of dental trauma. If you participate regularly, invest in a custom guard.
Tooth Rescue Kit for Sports Bags
Keep a SOS Zahnbox (tooth rescue box) in your sports bag, car, and medicine cabinet. Available at Swiss pharmacies for CHF 15-20, it contains a special medium that keeps a knocked-out tooth viable for 24+ hours -- dramatically increasing the chance of successful re-implantation compared to storing the tooth in water or a tissue. Many Swiss sports clubs keep these in their first aid kits.
Frequently Asked Questions
Can a broken tooth be saved?
In most cases, yes. Small chips can be bonded, larger fractures can be crowned, and even teeth with fractures extending to the root can sometimes be saved with root canal treatment and a crown. The exceptions are vertical root fractures (which split the root) and teeth shattered beyond reconstruction. Only an X-ray and clinical examination can determine the prognosis.
Should I use superglue on a broken tooth?
No. Superglue (cyanoacrylate) is toxic to oral tissue, can trap bacteria inside the crack causing infection, and makes subsequent professional repair more difficult. Dental-specific temporary cements from the pharmacy are safer but still a temporary measure. See an emergency dentist the same day.
How much does it cost to fix a broken tooth in Geneva?
Costs range from CHF 250 for simple bonding of a small chip to CHF 1,000-1,500 for a crown, and CHF 800-1,500 for root canal treatment if the nerve is damaged. The emergency consultation itself is CHF 150-200 including X-ray. Always ask for a written quote before treatment begins.
Can I wait a few days to see a dentist for a broken tooth?
It depends on the severity. A small chip with no pain can wait 1-2 days. A fracture with exposed pink or red tissue (pulp), severe pain, or a loose tooth needs same-day treatment. Bleeding, sharp edges cutting your tongue, or visible nerve tissue are all reasons to seek immediate care.
What happens if I swallow a piece of broken tooth?
Small fragments of tooth are generally harmless if swallowed -- they pass through the digestive system without issue. However, sharp or large fragments could theoretically cause irritation. If you experience abdominal pain, difficulty swallowing, or breathing difficulties after swallowing a tooth fragment, seek medical attention.
How long does a temporary crown last?
A temporary (provisional) crown placed in an emergency appointment typically lasts 2-6 weeks. It is designed to protect the tooth while a permanent crown is fabricated in the dental laboratory. Avoid chewing hard foods on the temporary crown and return for the permanent crown on schedule.
Is a cracked tooth covered by Swiss insurance?
If the crack was caused by an accident (sport, fall, car accident), it is covered by your accident insurance (UVG/LAA). If it happened from biting food or general wear, it is NOT covered by basic health insurance (LAMal). Complementary dental insurance may cover a percentage. Keep documentation of how the injury occurred.
Broken Tooth? Contact Us Now
Same-day treatment for broken, chipped, and knocked-out teeth. English-speaking team, transparent pricing.
Book Emergency on WhatsAppRue du Stand 58, 1204 Geneva | Mon-Fri 8am-9pm, Sat 9am-6pm, Sun 10am-4pm